
Biochemistry
Analyzes blood and body fluids to measure enzyme, lipid, and protein levels for early disease detection.

Clinical Pathology
Performs urine, stool and fluid examinations to identify metabolic disorders and infections accurately.

Serology
Conducts tests for viral and bacterial infections like Dengue, HIV and Typhoid using antigen detection.

Immunology
Focuses on autoimmune diseases and immune responses through advanced antibody-based testing methods.

ECG
Performs electrocardiograms to assess heart rhythm, detect abnormalities and monitor cardiac health.

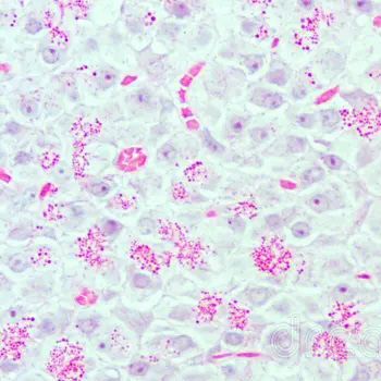
Histopathology
Examines biopsy tissues microscopically for cancer, inflammation and cell structural changes.

Toxicology
Detects toxins, poisons and drug residues in biological samples ensuring safety and therapeutic balance.

Microbiology
Performs culture and sensitivity tests to identify bacteria and guide antibiotic treatments effectively.

Hormone Analysis
Analyzes thyroid, reproductive and metabolic hormones to assess endocrine system function and balance.

PFT
Assesses lung capacity and respiratory efficiency to diagnose asthma, COPD and breathing disorders.

Audiometry
Evaluates hearing range and sensitivity through frequency-based sound tests for early hearing loss detection.

Radiology
Provides X-ray and ultrasound imaging for accurate diagnosis and visual evaluation of internal structures.
